+918048037969
Currently it only shows your basic business info. Start adding relevant business details such as description, images and products or services to gain your customers attention by using Boost 360 android app / iOS App / web portal.
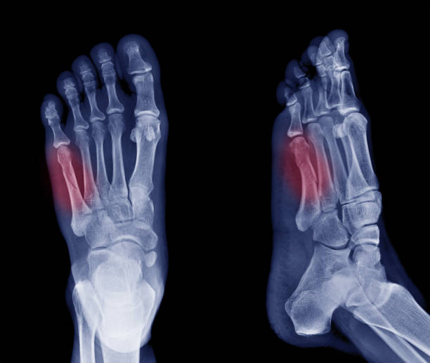
Ultrasonic Therapy for Post-Toe Fracture Rehabilitation Dealing with pain and stiffness after a toe fracture? Are you searching for advanced techniques to speed up recovery? Ultrasonic therapy can be a game-changer in your post-fracture healing journey. Dr. Deepika Bansal, a reliable physiotherapist serving Balewadi, Aundh, Wakad, Pimple Saudagar, and adjoining areas in Pune, offers cutting-edge treatments like ultrasonic therapy. This non-invasive technique uses sound waves to penetrate deep into tissues, promoting: 1. Enhanced Healing – Stimulates blood flow and tissue regeneration. 2. Pain Relief – Reduces inflammation and provides relief from lingering pain. 3. Mobility Restoration – Helps in softening scar tissue and improving joint flexibility. When paired with tailored physiotherapy exercises, ultrasonic therapy can effectively restore function and minimize complications post-toe fracture. Dr. Bansal designs personalized rehabilitation plans to ensure a quicker and smoother recovery process. If you’re searching for a “physiotherapist near me, ” consider Dr. Deepika Bansal for trusted, expert care. Regain your mobility and confidence with the best physiotherapy services today!